
Официальные задания и ответы для 9 класса школьного этапа 2024/25 всероссийской олимпиады школьников ВсОШ по Биологии 1-ой группы 09.10.2024 на официальном сайте Сириуса uts.sirius.online.
Задания школьный этап 9 класс
Задания 1: В 1991 году в ледниках Тироля (Австрия) были обнаружены древние человеческие останки, получившие название «Ötzi» или «Человек из Эцтальских Альп». Во льду находка прекрасно сохранилась, и учёные смогли провести всестороннее исследование. Одним из методов, использованных для определения возраста «Человека из Эцтальских Альп», был радиоуглеродный анализ, основанный на измерении доли радиоактивного изотопа углерода‑14 в органических материалах. Образцы из различных тканей Этци были отправлены в радиоуглеродные лаборатории для измерения остаточной активности изотопа 14C. Было установлено, что возраст Этци составляет примерно 5300 лет. Почему радиоуглеродный анализ позволил достаточно точно определить возраст «Человека из Эцтальских Альп»?

Низкая температура позволила остановить радиоактивный распад материала у «Человека из Эцтальских Альп», что позволило оценить исходное содержание углерода‑14 в тканях
Радиоуглеродный метод нечувствителен к возрасту органических материалов, поэтому он одинаково точно определяет возраст находок любого возраста, в том числе и «Человека из Эцтальских Альп»
Радиоуглеродный метод датирования наиболее точен для определения возраста органических материалов древнее 100 тысяч лет, поэтому он подходил для анализа останков «Человека из Эцтальских Альп»
Радиоуглеродный анализ основан на распаде радиоактивного изотопа углерода‑14, который происходит с постоянной скоростью. Поскольку возраст находки составлял всего около 5000 лет, этого времени было достаточно для точного измерения остаточного количества углерода‑14
→ Узнать ответ
Задания 2: В строении корня и стебля выделяют 3 анатомо‑топографические зоны: покровную, первичную кору (кортекс) и центральный цилиндр (стелу). Выберите ткань, которая НЕ относится к центральному цилиндру:
Перицикл
Эндодерма
Флоэма
Ксилема
→ Узнать ответ
Задания 3: В процессе потоотделения организм, помимо воды, теряет ряд важнейших элементов, что может приводить к судорогам, различным аритмиям (нарушения ритма сердечной деятельности), анурии (резкое снижение количества образующейся мочи) и иным негативным последствиям для человека. Какой напиток будет более предпочтителен для марафонцев на длительном забеге при температуре 26∘C?
Чистая вода комнатной температуры
Сладкий холодный чай
Изотоник
Никакой вариант не подходит, т.к. пить во время физической нагрузки вредно для организма
→ Узнать ответ
Задания 4: Известно, что при вегетативном размножении растения могут формировать новые побеги, которые способны потом отделяться от материнского растения. Такие побеги не образуются из почек на
корневищах
клубеньках
столонах
усах
→ Узнать ответ
Задания 5: Иглокожие тип исключительно морских донных животных, большей частью свободноживущих, реже сидячих, встречающихся на любых глубинах Мирового океана. Выберите верное утверждение о данной группе организмов:
Иглокожие целомические животные
Среди иглокожих нет хищников
У иглокожих отсутствуют истинные ткани
Иглокожие первичнополостные животные
→ Узнать ответ
Задания 6: Метаморфоз изменение вегетативного органа в результате преобладания его дополнительных функций над основными является следствием приспособления растений к особым условиям существования.
Видоизменение какого органа иллюстрирует изображение?
Листа
Побега
Цветка
Корня
→ Узнать ответ
Задания 7: Бактериальная клеточная стенка содержит молекулы, которые не встречаются у представителей других групп. Какое соединение НЕ содержится в клеточной стенке бактерий?
Пектины
Тейхоевая кислота
Липополисахарид
Муреин
→ Узнать ответ
Задания 8: Дана микрофотография клетки.

Выберите верную характеристику структуры А:
Мембранная органелла
Основная функция данного органоида образование рибосомных субъединиц
Отсутствует в клетках грибов
Не участвует в развитии раковых заболеваний
→ Узнать ответ
Задания 9: Выберите верную характеристику структуры Б:
Отвечает за поддержание формы клетки
Является немембранной органеллой
Связана с внешней мембраной ядерной оболочки
В этой органелле идёт окислительное фосфорилирование
→ Узнать ответ
Задания 10: Как только человек надевает одежду, он отчетливо ощущает её на своём теле, а через некоторое время перестаёт чувствовать на себе одежду. Почему?
Сначала активируются миелинизированные волокна, затем немиелинизированные
Сначала активируются немиелинизированные волокна, затем миелинизированные
Сначала активируются быстроадаптирующиеся тельца Руффини, затем медленноадаптирующиеся тельца Пачини
Сначала активируются быстроадаптирующиеся тельца Пачини, затем медленноадаптирующиеся тельца Руффини
→ Узнать ответ
Задания 11: Отметьте на изображении актин:
Задания 12: Что из перечисленного НЕ является фактором видообразования?
Экологическая изоляция
Географическая изоляция
Дрейф генов
Высокая плодовитость особей популяции
→ Узнать ответ
Задания 13: Рассмотрите иллюстрацию и выберите неверное утверждение:
T‑клетки, в отличие от B‑клеток, могут быть клетками памяти
Нейтрофилы способны к фагоцитозу
В лимфатических узлах происходит взаимодействие антиген‑презентирующих клеток и T‑клеток
Т‑клетки могут ингибировать механизмы врожденного иммунитета
→ Узнать ответ
Задания 14: Цикломорфоз сезонная изменчивость морфологии особей разных поколений одного вида, характерная для мелких планктонных беспозвоночных. На изображении представлены особи поколений разных сезонов одного вида коловратки.

Выберите верное утверждение:
Цикломорфоз это вариант видообразования
Разные формы коловраток могут отличаться по длине в 4 и более раза
На иллюстрациях А и Б показаны представители одного вида, на иллюстрации В представители другого вида
Наблюдаемое явление можно назвать половым диморфизмом
→ Узнать ответ
Задания 15: Раньше считалось, что в этот процесс вовлечены только прокариоты, но в 2024 году в журнале «Nature» опубликован результат исследования, согласно которому есть эукариотическая водоросль, также способная его осуществлять. Какой процесс изучали авторы статьи?
Фиксацию углерода
Фиксацию азота
Спорообразование
Брожение
→ Узнать ответ
Задания 16: Дано изображение скелета самца ископаемого представителя семейства оленевых большерогого оленя (Megaloceros giganteus) из плейстоцена и раннего голоцена. В результате какого эволюционного процесса для самцов данного вида стали характерны огромные (до 4 м в размахе) рога?

Искусственный отбор
Конвергенция
Половой отбор
Адаптивная радиация
→ Узнать ответ
Задания 17: На картинке изображён срез вегетативного органа растения.

Какой это орган и представителю какого класса он принадлежит?
Побег однодольного
Корень двудольного
Побег двудольного
Корень однодольного
→ Узнать ответ
Задания 18: На картинке изображён ядовитый хищник, обитающий в открытом океане.

К какому типу относится это животное?
Форониды
Гребневики
Стрекающие
Полухордовые
→ Узнать ответ
Задания 19: Изучите иллюстрацию потенциала действия кардиомиоцита.

Что понимается под абсолютным периодом рефрактерности возбудимой ткани?
Период, в течение которого клетка обладает максимальной возбудимостью
Период после возбуждения, когда наступает конечная реполяризация
Период, в течение которого клетка не способна возбуждаться повторно
Период, когда клетка находится в состоянии покоя
→ Узнать ответ
Задания 20: Назовите органы выделения этого организма:

Антеннальные (зелёные) железы
Максиллярные железы
Мальпигиевы сосуды
Ктенидии
→ Узнать ответ
Задания 21: Какие факторы влияют на скорость клубочковой фильтрации в почках?
Артериальное давление
Площадь поверхности висцерального листка капсулы Боумена
Гидростатическое давление в капиллярах клубочков
Активность ренин‑ангиотензиновой системы
Скорость попадания плазмы крови в почки
→ Узнать ответ
Задания 22: Какие из перечисленных организмов можно отнести к синантропным (от греч. sýn вместе и ánthropos человек)?
Домовая мышь, серая крыса
Волк, лисица
Белка, ёж
Голубь, собака
Сойка, воробей
→ Узнать ответ
Задания 23: Карл Вёзе предложил трёхдоменную систему живого мира. На картинке изображена кладограмма, связывающая все основные группы живущих организмов.
Выберите признаки, отличающие бактерии от эукариот:
Строение клеточной стенки
Организация генетического аппарата
Форма клеток
Наличие или отсутствие мембранных органелл
Строение мембраны
→ Узнать ответ
Задания 24: Выберите структуры, которые отсутствуют в клетках из представленного микропрепарата:
Хромосомы
Клеточная стенка
Центриоли
Эндоплазматический ретикулум
Пероксисомы
→ Узнать ответ
Задания 25: Ротовые органы насекомых (ротовой аппарат) внешние придатки на голове насекомых, служащие для приёма пищи. Исходным типом ротовых органов является грызущий ротовой аппарат, из которого в результате специализации развилось множество типов: лижущий, колюще‑сосущий, трубчато‑сосущий и другие.

Для каких из перечисленных насекомых характерен грызущий ротовой аппарат?
Для термитов
Для жуков
Для мух
Для комаров
Для тараканов
→ Узнать ответ
Задания 26: Система жизненных форм Раункиера классифицирует растения по положению и способу защиты почек возобновления в течение неблагоприятного периода (холодного или сухого). Выделяют несколько групп: фанерофиты, хамефиты, криптофиты, гемикриптофиты, терофиты. Фанерофиты растения, у которых почки и концевые побеги, предназначенные для переживания неблагоприятного периода, расположены высоко над землёй. Выберите растения, являющиеся фанерофитами:
Клён
Клюква
Дуб
Пастушья сумка
Тюльпан
→ Узнать ответ
Задания 27: По современной классификации группу Cycloneuralia, включающую нематод, и группу Panarthropoda, включающую членистоногих, объединяют в кладу Ecdysozoa (Линяющие). Выберите признаки, сближающие две эти группы:
Специализированные органы газообмена
Первичноротость
Отсутствие жгутиковых стадий
Незамкнутая кровеносная система
Наличие плотной кутикулы
→ Узнать ответ
Задания 28: Выберите ферменты, которые имеют оптимум каталитической активности в щелочной среде:
Панкреатическая липаза
Пепсин
Желудочная липаза
Трипсин
Амилаза
→ Узнать ответ
Задания 29: Что НЕ входит в состав биологических мембран?
Альбумин
Холестерол
Na+/K+‑АТФаза
АТФ
Целлюлоза
→ Узнать ответ
Задания 30: Вы исследуете флору вашего города. Для этого вы собираете растения и определяете их до вида по определителю. Вы решили сконцентрироваться на близких видах, а точнее, на том, чем они различаются. Для этого вы сравниваете собранные растения между собой. Какие методы вы используете?
Моделирование
Сравнительный
Исторический
Наблюдение и описание
Эксперимент
→ Узнать ответ
Задания 31: Сложный лист лист, состоящий из нескольких листовых пластинок, каждая из которых имеет собственный черешок. Как правило, пластинки такого листа опадают независимо.

Установите соответствие между растениями и типами сложных листьев.
Пальчатый
Непарноперистый
Тройчатый
Парноперистый
→ Узнать ответ
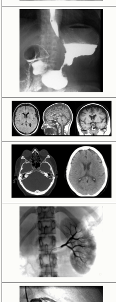
Задания 32: Установите соответствие между фотографией и методом медицинского исследования определённого органа.

Коронарография
МРТ головы
Почечная ангиография
Рентгенография желудка с контрастированием
Обзорная рентгенография брюшной полости
Компьютерная томография головы
→ Узнать ответ
Задания 33: Ряд гормонов в организме человека направлен на стимулирование роста определённых тканей или секреции органами необходимых для жизнедеятельности веществ. Установите соответствие между гормоном и его основной функцией.
Тиреотропный гормон
Пролактин
Кортикотропин
Лютеинизирующий гормон
Регуляция лактации
Стимуляция секреции кортизола
Стимуляция секреции тиреоидных гормонов
Регуляция овуляции и развития жёлтого тела
→ Узнать ответ
Задания 34: Митотический индекс отражает долю клеток, находящихся в митозе.

Рассчитайте митотический индекс для предложенного рисунка микропрепарата, сделанного Э. Улисоном в 1900 году. Ответ округлите до сотых.
→ Узнать ответ
Задания 35: Попадание пыльцевого зерна на рыльце пестика нужного вида растений ещё не гарантирует оплодотворение: во‑первых, пыльцевое зерно и растение, на пестик которого оно попало, должны быть совместимы по генотипу, во‑вторых, сифоногенная клетка должна прорасти в пыльцевую трубку, тем самым доставив спермии к зародышевому мешку, а это тоже получается не всегда. В популяции недотрог железистых (Impatiens glandulifera, сорные диплоидные растения из семейства Бальзаминовых) существует две генотипические формы, которые не могут скрещиваться между собой A и B. Частота формы A 60 %, частота формы B 40 %. Представьте, что на рыльце пестика растения формы A попало 150 пыльцевых зерён данного вида форм A и B а из тех, что оказались совместимыми по генотипу, 30 % погибло до того, как спермии попали в семязачатки.
Какое максимальное количество совместимых по генотипу спермиев может оказаться в семязачатках? Не забудьте, что для цветковых растений характерно двойное оплодотворение.
→ Узнать ответ