
Официальная тренировочная работа «РОКО» по Биологии 11 класс в формате ЕГЭ, вариант № 1161 по Тюменской области для подготовки к экзаменам. Проходящая 26.02.2026. Включает в себя 28 заданий.
Скачать материалы задания и ответы
Инструкция по выполнению работы
Экзаменационная работа состоит из двух частей, включающих в себя 28 заданий. Часть 1 содержит 21 задание с кратким ответом. Часть 2 содержит 7 заданий с развёрнутым ответом.
На выполнение экзаменационной работы по биологии отводится 3 часа 55 минут (235 минут).
Ответами к заданиям части 1 (1–21) являются слово (словосочетание), последовательность цифр, целое число или конечная десятичная дробь.
Ответы запишите по приведённым ниже образцам, а затем перенесите в бланк ответов №1.
адания части 2 (22–28) требуют полного ответа (дать объяснение, описание или обоснование; высказать и аргументировать собственное мнение). В бланке ответов № 2 укажите номер задания и запишите его полное решение.
Часть 1
Задание 1. Рассмотрите таблицу «Методы биологических исследований». Запишите в ответе пропущенный термин, обозначенный в таблице вопросительным знаком.

Задание 2. Экспериментатор исследовал особенности сердечного цикла у человека в покое и во время физической нагрузки. Как изменилась продолжительность сердечного цикла и общей диастолы во время физической нагрузки по сравнению с состоянием покоя?
Для каждой величины определите соответствующий характер её изменения:
1) увеличилась
2) уменьшилась
3) не изменилась
Запишите в таблицу выбранные цифры для каждой величины. Цифры в ответе могут повторяться.

Задание 3. В молекуле ДНК эукариотического организма на долю нуклеотидов с аденином и тимином в сумме приходится 22%. Определите долю (%) нуклеотидов с цитозином, входящих в состав молекулы. В ответе запишите только соответствующее число.
→ Раскрыть ответ
Задание 4. Какое соотношение фенотипов получится у потомков при скрещивании гетерозиготных растений львиного зева с розовыми цветками между собой при неполном доминировании признака? Ответ запишите в виде последовательности чисел (по возрастанию).
→ Раскрыть ответ
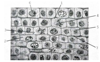
Рассмотрите рисунок и выполните задания 5 и 6.

Задание 5. Каким номером на микрофотографии обозначена максимально спирализованная хромосома?
→ Раскрыть ответ
Задание 6. Установите соответствие между характеристиками и фазами клеточного деления, обозначенными на микрофотографии цифрами 1, 2: к каждой позиции, данной в первом столбце, подберите соответствующую позицию из второго столбца.
ХАРАКТЕРИСТИКИ
А) происходит компактизация хромосом
Б) центромеры хромосом выстраиваются в экваториальной плоскости клетки
В) исчезает ядерная оболочка
Г) микротрубочки веретена деления перемещают хромосомы
Д) начинается формирование веретена деления
Е) микротрубочки веретена деления прикрепляются к кинетохорам центромер хромосом
ФАЗЫ КЛЕТОЧНОГО ДЕЛЕНИЯ
1) 1
2) 2
Запишите в таблицу выбранные цифры под соответствующими буквами.
→ Раскрыть ответ
Задание 7. Выберите три верных ответа и запишите в таблицу цифры, под которыми они указаны.
Какие из приведённых признаков характерны для изображённой на рисунке структуры клетки?

1) образование лизосом
2) синтез полипептидов
3) модификация белков
4) наличие мембранных цистерн
5) наличие центросферы (астросферы)
6) формирование рибосом
→ Раскрыть ответ
Задание 8. Установите последовательность действий экспериментатора, исследующего независимое наследование признаков при дигибридном скрещивании.
Запишите в таблицу соответствующую последовательность цифр.
1) подбор родительских пар чистых линий с двумя парами альтернативных признаков
2) получение единообразного гибридного потомства
3) образование единообразных гамет у каждой скрещиваемой особи
4) скрещивание гибридов F1 между собой
5) получение четырёх фенотипических гибридных групп
→ Раскрыть ответ
Рассмотрите рисунки и выполните задания 9 и 10.

Задание 9. На рисунке под каким номером изображён организм, питающийся кровью позвоночных животных?
→ Раскрыть ответ
Задание 10. Установите соответствие между характеристиками и организмами, обозначенными на рисунке выше цифрами 1, 2, 3: к каждой позиции, данной в первом столбце, подберите соответствующую позицию из второго столбца.
ХАРАКТЕРИСТИКИ ОРГАНИЗМЫ
А) дышит жабрами
Б) имеет пять пар ходильных конечностей
В) плетёт ловчие сети
Г) имеет несколько пар простых глаз
Д) способен к полёту
Е) перемещается с помощью прыгательных конечностей
Запишите в таблицу выбранные цифры под соответствующими буквами.
→ Раскрыть ответ
Задание 11. Выберите три верных ответа и запишите в таблицу цифры, под которыми они указаны.
Обязательными условиями образования сочного многосемянного плода являются
1) множество пестиков в цветке
2) множество семязачатков в завязи
3) формирование гаплоидного эндосперма
4) тёплый климат, множество солнечных дней
5) обилие клеточного сока в околоплоднике
6) двойное оплодотворение
→ Раскрыть ответ
Задание 12. Установите последовательность систематических групп организмов, начиная с самого высокого ранга. Запишите в таблицу соответствующую последовательность цифр.
1) Эукариоты
2) Растения
3) Иван-чай узколистный
4) Двудольные
5) Кипрейные
6) Покрытосеменные (Цветковые)
→ Раскрыть ответ