
Ответы и задания на всероссийскую олимпиаду школьников ВСОШ школьного этапа для 10 класса по Биологии в Московской области на 22, 23, 24 сентября 2025 г.
Олимпиада ВСОШ школьный этап Биологии 10 класс
1. На изображении представлена схематичная, сильно упрощённая эволюционная схема происхождения основных доменов живых организмов: бактерий, архей и эукариот. В её основе — идея о существовании общего предка всего живого, обозначенного как LUCA (Last Universal Common Ancestor, последний универсальный общий предок), от которого более 3,5 миллиардов лет назад произошли все современные формы жизни. Схема отражает современную трехдоменную идею об организации живого мира: от LUCA отделяются три основные ветви: бактерии, археи и эукариоты. На схеме стрелками указаны два ключевых события в эволюционной истории эукариот. Какое событие показано цифрой 1?

возникновение многоклеточности
возникновение подвижности
возникновение митохондрий
возникновение пластид
Правильный ответ: возникновение митохондрий
=
2. Перед Вами фотография, полученная методом трансмиссионной электронной микроскопии. Внимательно рассмотрите микрофотографию и определите, что НЕЛЬЗЯ увидеть на ней.

рибосомы
ядрышко
шероховатый ЭПР
кристы митохондрийй
Правильный ответ: ядрышко
3. Тредмиллинг (Treadmilling) — это динамический процесс, при котором структурные единицы некоторого компонента клетки добавляются преимущественно на одном конце и удаляются с другого конца с примерно одинаковой скоростью. Выберете, какой компонент клетки, схематично изображённый на рисунке, вовлечён в данный процесс.

мономеры цитоскелетных элементов
мономеры олигосахаридов гликокаликса
мономеры нуклеиновых кислот
липиды клеточной мембраны
Правильный ответ: мономеры цитоскелетных элементов
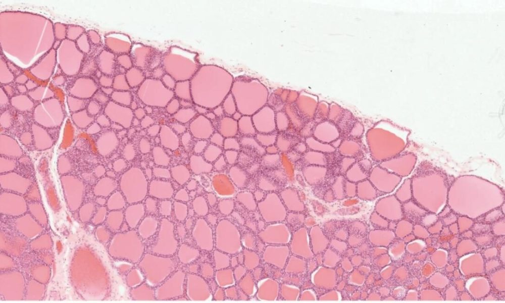
4. На фотографии представлен срез органа X. Известно, что это периферический орган эндокринной системы, имеющий паренхиматозное строение. Структурно-функциональной единицей органа X является:

ацинус
долька
сегмент
фолликул
Правильный ответ: фолликул
5. В биологической лаборатории ученые исследовали реакцию живых клеток на стресс. В качестве объектов были взяты близкородственные виды из пруда (a) и почвы (b). Под цифрами 1 зашифрован пиреноид, содержащий РуБисКО – главный фермент фотосинтеза, 2- хлоропласт, под цифрами 3-6 показаны мембранные органоиды. Водоросли a и b были лишены на некоторое время важного абиотического фактора. Выберите какой организм сохранял наилучшие показатели жизнеспособности в ходе эксперимента?

водоросль b
эксперимент привел к летальному исходу в обоих случаях
водоросль a
эксперимент не привел к видимому изменению в клетках
Правильный ответ: водоросль b
6. В некоторых европейских странах, например, в Германии изображённые на фотографии растения сравнивали с туфельками лесных эльфов. Определите, чем являются обозначенные стрелкой элементы.

чашелистиками
лепестками
краевые цветки соцветия
прицветничками
→ Получить ответ
7. Рассмотрите фотографию поперечного среза некоторого растительного органа и выберете НЕверное утверждение относительно его анатомического строения.

это лист
изображён коллатеральный проводящий пучок
присутствует как столбчатый мезофилл, так и губчатый
можно различить трихомы
→ Получить ответ
8. На изображении представлена схема жизненного цикла печёночного сосальщика (Fasciola hepatica) — типичного объекта изучения в школьном курсе биологии. На какой стадии происходит заражение промежуточного хозяина?

марита (половозрелая особь)
метацеркария
церкария
мирацидий
→ Получить ответ
9. К какому отряду относится животное на фотографии?

отряд Хищные
отряд Грызуны
отряд Неполнозубые
отряд Насекомоядные
→ Получить ответ
10. Второй закон Менделя – это:
закон расщепления признаков (закон чистоты гамет)
закон единообразия гибридов первого поколения
закон независимого наследования признаков
закон перекрёстного наследования признаков, сцепленных с полом
→ Получить ответ
11. Если у гетерозиготной особи признак проявляется в той же форме, что и у доминантной гомозиготы, то это указывает на:
неполное доминирование
полное доминирование (доминантный признак)
кодоминирование
полное доминирование (рецессивный признак)
→ Получить ответ
12. Какие химические связи образуется между комплементарными азотистыми основаниями в двойной спирали ДНК?
дисульфидные
водородные
ионные
пептидные
→ Получить ответ
13. Димер какого трансмембранного белка изображен на картинке?

тубулин
каспаза 9
рецептор инсулина
гемоглобин
→ Получить ответ
14. Недостаток витамина A (ретинола) в организме может привести к развитию куриной слепоты — патологического состояния, при котором ухудшается или полностью исчезает способность видеть в условиях слабого освещения. С каким конкретным нарушением связаны эти симптомы?
атрофия зрительного нерва
дисфункция родопсина из-за отсутствия необходимого кофактора
постепенное замещение палочек на колбочки в сетчатке
нарушение прозрачности роговицы
→ Получить ответ
15. На картинке представлена структурная формула азотистого основания гуанина, одного из четырех оснований из которых состоит молекула ДНК. По какому принципу в нем покрашены атомы?

Синим показаны атомы, обращенные в малую бороздку ДНК, красным – в большую.
Синим показаны гидрофобная часть молекулы, красным – гидрофильная.
Синим показана ароматическая часть молекулы, красным – алифатическая.
Синим показана область молекулы, на которой сосредоточен положительный заряд, красным – отрицательный.
→ Получить ответ
16. В ходе какого типа брожения образуется данная молекула?

маслянокислого
молочнокислого
смешанного
спиртового
→ Получить ответ
17. При изучении физиологии растений и в сельском хозяйстве часто используется метод гидропоники — выращивание растений на искусственной водной среде (см. изображение). Выберите верное утверждение об особенностях применения этого метода.

Этот метод универсален — он подходит для выращивания любого растения.
Для разных видов растений требуется подбирать свой оптимальный состав растворяемых в воде минеральных веществ.
Растения можно выращивать на чистой дистиллированной воде, чтобы их корни были чистыми, что полезно при промышленном выращивании.
Этот метод подходит только для выращивания водных растений.
→ Получить ответ
18. Условие: Сахарный тростник используется для получения сахара (сахарозы). Выберите НЕВЕРНОЕ утверждение.

Сахарный тростник запасает сахарозу в вакуоли.
Сахарный тростник использует сахарозу для синтеза крахмала.
Сахарный тростник транспортирует сахарозу по флоэме.
Сахарный тростник использует сахарозу для привлечения опылителей.
→ Получить ответ
19. На изображении представлены различные стадии потенциала действия нейрона. Во время стадии 2 происходит

вход ионов Na+
выход ионов К+
обмен K+ и Na+ через обменник
вход ионов Ca2+
→ Получить ответ
20. Внимательно рассмотрите рисунок и установите, чему соответствует появление пика Q

реполяризации желудочков
возбуждению межжелудочковой перегородки
возбуждению предсердий
возбуждение верхушки сердца
→ Получить ответ