
Официальные задания и ответы Сириус для 10 класса школьного этапа 2024/25 всероссийской олимпиады школьников ВсОШ по Биологии 2-ой группы 08.10.2024 на официальном сайте Сириуса uts.sirius.online.
Задания школьный этап 10 класс
Задание 1: У голосеменных растений семена образуются из
шишки
зиготы
мегаспоры
семязачатков
→ Узнать ответ
Задание 2: На микрофотографии хорошо заметна специальная ткань аэренхима.

Её наличие характерно для растений, произрастающих в условиях
переувлажнения
недостатка влаги
интенсивного освещения
засоления
→ Узнать ответ
Задание 3: Софья и Артём рассматривали схему строения клетки и поспорили. Артём утверждал, что такая клетка точно принадлежит растению и может фотосинтезировать.
Софья уверена, что это не растительная клетка и что к фотосинтезу она не способна. Чьё мнение вы считаете более правильным?
Софья права, но частично: на рисунке клетка растения, так как есть оболочка (обозначена цифрой 6) и центральная вакуоль (обозначена цифрой 5), но функцию фотосинтеза клетка не выполняет
Артём прав, так как в клетке есть хлоропласты (обозначены цифрой 2)
Софья права: на рисунке не клетка растения, и фотосинтезировать такая клетка не может
Артём прав, но частично: на рисунке клетка растения, потому что есть оболочка (обозначена цифрой 6), но функцию фотосинтеза клетка не выполняет, так как хлоропласты (обозначены цифрой 1) красного цвета, значит, хлорофилла в них нет
→ Узнать ответ
Задание 4: Домашние кошки и собаки любимые питомцы во многих семьях. Однако они могут быть переносчиками заболеваний и паразитов. Это не повод отказываться от домашних животных, но полезно об этом знать, чтобы беречь здоровье своё и своих питомцев. От домашних кошек или собак люди могут заразиться
токсокарами
бычьим цепнем
аскаридами
вшами
→ Узнать ответ
Задание 5: Выберите пару «гипероним‑гипоним» (т.е. множество объектов, охваченных вторым понятием, является подмножеством первого, например, «хищные псовые»):
ДНК нуклеиновая кислота
Белок фермент
Хищник гетеротроф
Автотроф сапротроф
→ Узнать ответ
Задание 6: Выберите животное, которое имеет сложные (фасеточные) глаза на подвижных стебельках:
Речной рак
Паук‑крестовик
Медоносная пчела
Виноградная улитка
→ Узнать ответ
Задание 7: Выберите верные утверждения об изображённых животных:
Животные 6 и 7 не имеют производных мезодермы
Животные 4 и 9 представители типов, к которым относятся только паразиты
Животные 3 и 4 представители типов, не сумевших выйти на сушу
Животное 10 обитает в пресных водоёмах
→ Узнать ответ
Задание 8: Выберите изображение организма, имеющего в составе своего тела вещество, образованное этими мономерами:
Задание 9: Что из перечисленного отсутствует в жабрах органах дыхания костистых рыб?
Дуги
Пестики
Лепестки
Тычинки
→ Узнать ответ
Задание 10: Какие вещества НЕ должны содержаться в молоке верблюда?
Полисахариды
Белки
Жиры
Нуклеотиды
→ Узнать ответ
Задание 11: Как известно, у разных групп позвоночных разное количество видов кожных желёз. Какая из них практически НЕ выделяет жиров или жироподобных веществ?
Копчиковая
Сальная
Млечная
Потовая
→ Узнать ответ
Задание 12: На фотографии изображён скелет животного из отряда приматов. К какому виду оно принадлежало?
Человек разумный
Паукообразная обезьяна
Суматранский орангутан
Человек неандертальский
→ Узнать ответ
Задание 13: Перед вами снимок чешского фотографа Ондрея Просицкого.
К какому семейству относится изображённый хищник?
Кошачьи
Куньи
Медвежьи
Псовые
→ Узнать ответ
Задание 14: Какие из перечисленных структур млекопитающих НЕ являются производными эпидермиса?
Шерсть
Зубы
Когти
Ногти
→ Узнать ответ
Задание 15: Перед вами препарат клетки человеческого организма.
Открыть изображение в новой вкладке
Все отростки данной клетки…
способны к возбуждению за счёт изменения потенциала на мембране
способны к фагоцитозу
обеспечивают передвижение клетки в жидкой среде
сливаются с отростками соседних клеток, образуя синцитий
→ Узнать ответ
Задание 16: Выберите верную характеристику гормона вазопрессина:
Вырабатывается надпочечниками
Уменьшает обратное всасывание воды в почках
Сужает сосуды
Понижает кровяное давление
→ Узнать ответ
Задание 17: Какие рецепторные окончания расположены ближе всего к поверхности кожи?
Рецепторы холода
Рецепторы механических воздействий
Рецепторы давления
Рецепторы растяжения мускулатуры
→ Узнать ответ
Задание 18: На снимке запечатлена мексиканская амбистома, личинкой которой является знаменитый аксолотль.

Какое из высказываний является неверным?
На фото взрослая особь
Животное на фото дышит жабрами
Животное на фото может жить в лесной подстилке
Животное на фото относится к тетраподам
→ Узнать ответ
Задание 19: На картинке изображены мармозетки, афалины и африканские слоны.

Какая особенность поведения имеется у представителей всех этих видов?
Ориентация в пространстве с использованием эхолокации
Индивидуальное распознавание друг друга
Аллогруминг
Орудийная деятельность
→ Узнать ответ
Задание 20: На рисунке приведено сравнение последовательностей геномов двух бактерий (последовательность генома 1 используется в качестве референса).

Выберите верное утверждение:
В геноме 2 есть инверсия последовательности
Размер генома 2 в пять раз больше, чем размер генома 1
В геноме 2 присутствует делеция последовательности
В геноме 2 есть дупликация последовательности
→ Узнать ответ
Задание 21: Рассмотрите схему жизненного цикла базидиального гриба.

Сколько ядер и какова их плоидность в каждой клетке организма на самой продолжительной стадии его жизненного цикла?
Два диплоидных ядра
Два гаплоидных ядра
Одно ядро, диплоидное
Одно ядро, гаплоидное
→ Узнать ответ
Задание 22: Учащиеся скачали из Интернета картинку и решили использовать её для презентации к докладу.

Какой процесс она иллюстрирует?
Репликацию
Трансдукцию
Транскрипцию
Трансляцию
→ Узнать ответЗадание 23:Какие организмы могут одновременно обитать в одном биоценозе?
Ладожская нерпа и ламинария (морская капуста)
Актиния и белый гриб
Беззубка и харовая водоросль
Речной рак и трилобит
→ Узнать ответ
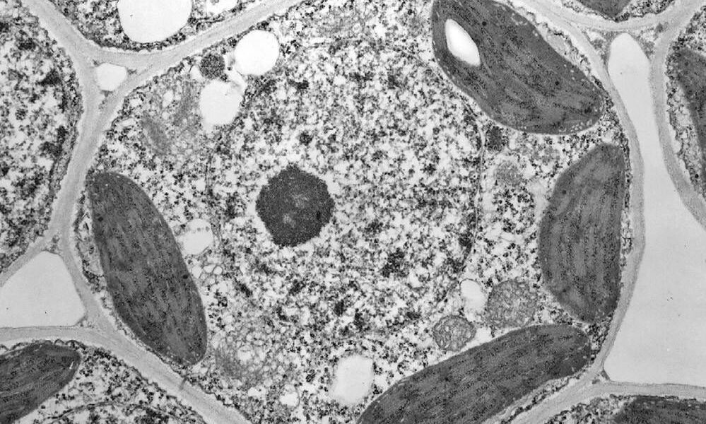
Задание 24: С помощью какого устройства была получена данная фотография?

Лазерного конфокального микроскопа
Современного смартфона
Электронного микроскопа
Светового микроскопа
→ Узнать ответ
Задание 25: Где в клетке инфузории туфельки можно наблюдать процесс трансляции?
В цистерне аппарата гольджи
В хлоропластах
В ядре
В митохондриях
→ Узнать ответ
Задание 26: Для каких растений характерны плоды с сухим околоплодником?
Для капусты
Для грецкого ореха
Для шиповника
Для миндаля
Для земляники
→ Узнать ответ
Задание 27: Что характерно для голосеменных растений?
Слияние ядер спермия и яйцеклетки
Слияние ядра спермия и центрального ядра зародышевого мешка
Деление зиготы
Образование триплоидного эндосперма
Перенос мужского гаметофита ветром
→ Узнать ответ
Задание 28: Перед вами микрофотография поперечного среза корня тыквы.

Выберите верно обозначенные структуры:
1 вторичная флоэма
2 первичная ксилема
3 вторичная ксилема
4 первичная флоэма
5 камбий
→ Узнать ответ
Задание 29: Качка корабля при волнении моря или постоянные рывки автомобиля в пробке приводят у многих людей к развитию морской болезни (кинетоза). Для неё характерны такие симптомы, как головокружение, тошнота, рвота, бледность, холодный пот, снижение артериального давления, урежение сердечных сокращений. Выберите верные утверждения об этом заболевании:
Кинетоз связан с перевозбуждением зрительных рецепторов из‑за постоянно движущегося изображения
Кинетоз вызван избыточным возбуждением рецепторов полукружных каналов
Развитие болезни связано с активацией парасимпатической системы
Рвота вызвана возбуждением центров в продолговатом мозге
Артериальное давление снижается из‑за оттока крови в капиллярные сети кожи
Задание 30: Дано схематичное изображение спинного мозга здорового человека (слева) и пациента с давним тяжелым неврологическим заболеванием (справа).

Выберите признаки этого заболевания:
Наблюдаются нарушения произвольных движений
Нарушена координация сокращения гладкой мускулатуры
Потеряна кожная чувствительность
Нарушена передача сигнала от спинальных ганглиев в спинной мозг
Атрофирована скелетная мускулатура
→ Узнать ответ
Задание 31: Последовательности каких генов можно использовать для проведения филогенетического анализа с целью построения макросистемы живых организмов?
Ген 16S рРНК
Ген 18S рРНК
Ген цитохромоксидазы
Ген миозина
Ген пепсина
→ Узнать ответ
Задание 32: Перед вами современный, но немного упрощённый вариант филогении цветковых растений.

Выберите верные утверждения:
Деление цветковых растений на классы Двудольные и Однодольные утратило смысл и противоречит современным представлением об обязательной монофилии таксона
Магнолиевые не самая примитивная группа цветковых растений
Однодольные растения монофилетическая группа
Ветроопыляемые растения появлялись независимо в разных группах цветковых растений
Ламииды и Астериды сестринские группы
→ Узнать ответ
Задание 33: На рисунке изображен гистологический срез эпителиальной выстилки органа.

Выберите верные утверждения о данном эпителии:
Данный эпителий является однослойным
Складки эпителия образуют микроворсинки
Клетки эпителия с эозинофильной цитоплазмой выделяют белковый секрет
Эпителий образует углубления ямки, в них открываются трубчатые железы
Эпителий содержит секреторные клетки
→ Узнать ответ
Задание 34: Выберите фрагменты пищевых сетей, представленные в естественных экосистемах:
Зелёные водоросли малый прудовик печёночный сосальщик
Элодея канадская водяной осликтреска
Лишайник северный олень олений слепень
Листовой опад дождевой червь крот
Одуванчик лекарственный серая жаба комар‑пискун
→ Узнать ответ
Задание 35: Данная фотография иллюстрирует процесс размножения, встречающийся у некоторых плоских и кольчатых червей.

Охарактеризуйте результат этого процесса:
Может увеличиться численность популяции
Всё потомство, достигнув зрелости, будет обладать идентичным фенотипом
Всё потомство будет обладать тем же генотипом, что и родительская особь
Происходит увеличение генетического разнообразия популяции
Образуются особи гаплоидного поколения
→ Узнать ответ
Задание 36: Установите соответствие между границами частей клетки амёбы‑протея и количеством мембран, которые образуют эти границы.
Задание 37: Установите верную последовательность всасывания и транспортировки воды и минеральных веществ от корня растения к листьям.
Сосуды корня
Клетки мезофилла листа
Сосуды стебля
Клетки коры корня
Корневой волосок
Сосуды листа
→ Узнать ответ
Задание 38: Кровососущие комары не только причиняют людям беспокойство укусами и звуками, которые издают в полёте, но и переносят множество опасных заболеваний.

Для борьбы с комарами важно понимать, как проходит их развитие. Расположите по порядку события, происходящие в онтогенезе самки комара‑пискуна, начиная с образования зиготы.
Смена водной среды обитания на наземно-воздушную
Первое в жизни питание
Окукливание
Откладка яиц
Формирование колюще-сосущего ротового аппарата
→ Узнать ответ
Задание 39: Расположите в хронологической последовательности события эволюции хордовых животных.
Появление китообразных
Появление млекопитающих
Появление амфибий
Появление позвоночных
→ Узнать ответ
Задание 40: Ядро яйцеклетки у некоторого вида плацентарных млекопитающих в норме содержит 23 хромосомы. Сколько аутосом содержит его зигота?
→ Узнать ответ
Задание 41: В молекуле ДНК количество нуклеотидов с гуанином составляет 30% от общего числа нуклеотидов. Найдите долю нуклеотидов с аденином в этой молекуле. Ответ выразите в процентах.
→ Узнать ответ
Для регионов группы:
24. Белгородская область
25. Брянская область
26. Владимирская область
27. Воронежская область
28. город Санкт-Петербург
29. Ивановская область
30. Калининградская область
31. Калужская область
32. Кировская область
33. Костромская область
34. Курская область
35. Ленинградская область
36. Липецкая область
37. Нижегородская область
38. Орловская область
39. Республика Марий Эл
40. Республика Мордовия
41. Республика Татарстан
42. Республика Чувашия
43. Рязанская область
44. Смоленская область
45. Тамбовская область
46. Тверская область
47. Тульская область
48. Ярославская область